Free Invisalign consultation
Qualified at Birmingham Dental School in 1996, and has undertaken extensive postgraduate training and qualifications, including Primary Certificate in Dental Homeopathy, and certifications in Endodontic (root canal treatments) and Cosmetic Dentistry. She is a member of the British Academy of Cosmetic Dentistry, the British Endodontic Society and the British Periodontal Society and applies their high standards of care to all patients. She has been an Invisalign provider since 2005.
Main areas of interest: Holistic and Cosmetic Dentistry including dental bonding, veneers, smile makeovers, endodontics and Invisalign orthodontic treatments for adults and teens.
Clear aligners, traditional metal braces, and payment plans are all affordable options for those looking to straighten their teeth. It is important to consult with a dental professional to determine which option is best for you.
Metal braces are one of the most common and effective methods for correcting dental misalignments. Consisting of brackets that attach to each tooth and wires that the dentist adjusts periodically, metal braces are a reliable option for correcting complex bite issues. However, many people prefer to use clear aligners as they are more discreet, the choice often comes down to personal preference, budget and complexity of the case.
Orthodontic treatment is available on the NHS for young people under the age of 18 at no cost. NHS orthodontic treatment isn’t usually available for adults, but may be approved on a case-by-case basis if needed for health reasons.
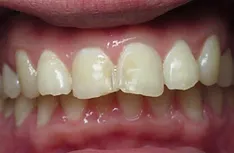
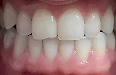
Invisalign is an innovative treatment option to help you achieve straight teeth and a beautiful smile. While it may not address severe or complex dental issues, it can be an excellent alternative to traditional braces if you have mild to moderate orthodontic issues.
EXCELLENT Based on 212 reviews Posted on Steven OsborneTrustindex verifies that the original source of the review is Google. Spot on treatment and service from the whole team. Dr.Elinor Durband was excellent, friendly, clear and thorough.Posted on Farhan PatelTrustindex verifies that the original source of the review is Google. Was so easy to book an emergency appointment with great flexibility and advice. I didnt even have to call and wait in a long que a simple email was sufficient. Highly recommended.Posted on Patricia BradyTrustindex verifies that the original source of the review is Google. Mary the hygienist has given me great advice and I now just pop in every 6 months for a clean and polish. Elaine, Mary and all the staff are lovely and put you at ease. I’m not a fan of going to the dentist, but I don’t mind going to Willaston at all!Posted on Georgia JTrustindex verifies that the original source of the review is Google. Thank you April for such a positive experience during my hyginest appointment. Would 100% recommend☺️Posted on Jemma ClareTrustindex verifies that the original source of the review is Google. Ellie was just wonderful from start to finish. She was thorough and reassuring. I couldn't recommend her enough. Thank you 🤩Posted on S McCoyTrustindex verifies that the original source of the review is Google. Finally found a NHS dentist, hadn't been for ages after my last horrendous appointment at previous dentist, I was petrified, the dentist & assistant were absolutely lovely which just made me feel lot calmer inside. Soooo pleased I found this dental practice 😊Posted on Philip SweeneyTrustindex verifies that the original source of the review is Google. There covid protocol was impressive and as always they make you feel that you are important and listen and discuss your needs in a professional manner. The atmosphere that the practice has created is one that makes you feel relaxed and comfortable. I would recommend this practice to anyone that feels apprehensive about going to the dentist.Posted on Bill WelshTrustindex verifies that the original source of the review is Google. My dentist, Elinor, was very good at putting me at ease, explaining what the process was that she would be carrying out and informing me to indicate to her to stop at any point during the process if I was feeling any pain or in discomfort. Overall I would say that she is very easy to talk to and has a very pleasant and professional attitude to her patients.Posted on Jonny.STrustindex verifies that the original source of the review is Google. Excellent service as always
Last update: 10 August 2023
We take data protection seriously and this Privacy Notice has been written to give you a detailed overview on how we may process your personal data when using and interacting with our website. Make sure to read it carefully as this notice contains important information on how we process your personal data as well as what your rights are, how to contact us and how to make a complaint if you have one.
Please note that this Privacy Notice is for the use of our website only.
This website Privacy Notice is divided into the following sections:
Our practice is Notified with the Information Commissioner’s Office (ICO).
Our Data Controller can be contacted at our practice address or by telephone with any questions you may have or details concerning the protection of your personal data.
Our Practice is Registered with the Care Quality Commission (CQC). Details of our Registration can be seen at www.cqc.org.uk. Our practice has to comply with the CQC data protection policy for Patient Records both offline and online.
This privacy notice relates to your use of our website, see www.willastondentalcare.co.uk.
Throughout our website we may link to other websites owned and operated by certain trusted third parties to make additional products and services available to you. These other third-party websites may also gather information about you in accordance with their own separate privacy notices.
For privacy information relating to these other third-party websites, please consult their privacy notices.
Personal data: means any information that can be linked to an individual and identify them no matter if on its own or when combined with other data. Examples of personal data are name, ID number, location data, health information, political or economic interests, online identifiers, and IP addresses.
We may collect your personal data when you access our website, register with us, contact us or send us feedback.
We collect this personal data from you either directly, such as when you register with us, contact us, or indirectly, such as your browsing activity while on our website (see ‘Cookies’ below).
The personal data we collect about you depends on the activities carried out through our website. This information includes:
We use this personal data to:
When we use your personal data, we are required to have a legal basis for doing so. There are various legal bases on which we may rely on, depending on what personal data we process and why.
The legal bases we may rely on include:
We share personal information from our customers and users with third parties under the very limited circumstances and specific purposes below:
We are responsible for background checking our vendors to ensure that such companies process your personal information in conformity with the applicable data privacy regulations, information security standards and our own standards.
The period for which data is retained varies according to the purpose for which the data is processed. Personal data is being kept only for the time necessary to fulfil the processing purpose. In addition, there may be legal requirements that determine certain data to be retained for a minimum period.
A cookie is a small text file which is placed onto your device (e.g: computer, smartphone or another electronic device) when you use our website. We use cookies on our website. These help us recognise you and your device and store some information about your preferences or past actions.
For further information on cookies, our use of cookies, when we will request your consent before placing them and how to disable them, please see our Cookie Policy.
We use third-party analytics services (such as Google Analytics) as well as self-hosted data collection services on our Services to collect and analyse usage information through cookies and similar technologies; engage in auditing, research, or reporting; assist with fraud prevention; and provide certain features to you. To prevent Google Analytics from using your information for analytics purposes, you may install the Google Analytics Opt-out Browser Add-on.
We may work with several companies that assist in marketing our services to you on third party websites, mobile apps, and online services. These third parties may use cookies, web beacons or other tracking technologies to collect information about your use of certain parts of the Services and your activities across other websites and online services, which they may associate with persistent identifiers.
Their activities and your choices regarding their use of your information to personalise ads to you are subject to and set out in their own policies. We neither have access to, nor does this Privacy Policy govern, the use of cookies or other tracking technologies that may be placed on your computer, mobile phone, or other device by non-affiliated, third-party providers. As described below, these providers may offer you a way to opt-out of the collection of information that is used for our interest-based advertising to you. We cannot guarantee that these instructions will not change, or that they will continue to be available; they are controlled by each third-party service provider, not us.
We would like to send you information about products and services, competitions, and special offers, which may be of interest to you. Where we have your consent or it is in our legitimate interests to do so, we may do this by email or text message (SMS).
If you have agreed to being contacted in this way, you can unsubscribe at any time by:
You have certain rights when it comes to the use of your data. At our practice we make this a global commitment and treat all our users equally. These are:
a. Right to be Informed: You have the right to be informed about all data processing activities performed on your personal data at the point of collection.
b. Right of Access: Also known as Data Subject Access Requests (“DSARs” or “SARs”), you have the right to request information relating to you, and to receive a copy of your personal data.
c. Right to Rectification: You have the right to request the rectification or completion of inaccurate or incomplete personal data concerning you.
d. Rights to Erasure, Restriction, Data Portability and to Object: In certain circumstances you have the right to:
Have in mind that we can still store some of our users’ anonymised personal information, as it is not possible to directly link to the data back to their identity.
We may also retain some personal information that is strictly necessary to comply with legal or governmental obligations.
e. Automated Decision Making: You have the right not to be subject to a decision based solely on automated processing, including profiling, which produces legal or similarly significant effects concerning you.
f. Facilitating Your Rights: We are required to provide within one month of receipt, information on the action we have taken to facilitate the request, or where applicable, the reasons for not taking action. This must include your right to lodge a complaint with the ICO and to seek a judicial remedy.
To make use of your rights as stated above, you can make a direct request with us. Once you submitted your request, our team will get in touch with you within 30 days upon request.
The UK GDPR and EU GDPR allows us to extend this period by a further two months in certain circumstances.
For residents of other jurisdictions, to exercise your data protection rights or to receive more details in connection with them, you can submit requests via our Contact page. You may be required to provide additional information necessary to confirm your identity before we can respond to your request. We will consider all such requests and provide our response within the period required by applicable law.
Please note, however, that certain information may be exempt from such requests, for example if we need to keep the information to comply with our own legal obligations or to establish, exercise, or defend legal claims. Your rights and our responses will vary based on your state or country of residency.
Please note that you may be located in a jurisdiction where we are not obligated, or are unable, to fulfill a request. In such a case, your request may not be fulfilled. If applicable, you may make a complaint to your local data protection supervisory authority in the country where you are based. Alternatively, you may seek a remedy through local courts if you believe your rights have been breached.
We reserve the right to verify your identity before responding to a request, which may include, at a minimum, depending on the sensitivity of the information you are requesting and the type of request you are making, verifying your name, email address, phone number, or other information. You are also permitted to designate an authorised agent to submit certain requests on your behalf.
In order for an authorised agent to be verified, you must provide the authorised agent with signed, written permission to make such requests or a power of attorney. We may also follow up with you to verify your identity before processing the authorised agent’s request.
If you would like further information regarding your legal rights or would like to exercise any of them, please contact us using the details available on our Contact page.
The security of the personal data we collect from our customers and users is a high priority and we make sure to adopt the proper technical, organisational, and administrative measures to protect the information we hold in our websites and products against loss, unauthorised access, misuse, modification, or destruction.
As we improve our products and website, we may also update this Privacy Notice from time to time.
It is your responsibility to periodically check this document and maintain yourself informed about eventual changes in our activities regarding personal data.
We will let you know about the privacy updates on our website:
The “Most recent update” caption at the top of this page indicates when this Privacy Policy was last revised.
If you would like to see the version of the Privacy Notice that was in effect immediately prior to this version, please contact us using the details on our Contact page.
Please contact us if you have any questions about this privacy notice or the data we hold about you.
If you wish to contact us, please use the details on our Contact page.
If you would like this website privacy policy in another format (for example: audio, large print, braille) please contact us (see ‘How to contact us’ above).